发布日期:2026-01-31 来源:中国抗癌协会科普平台


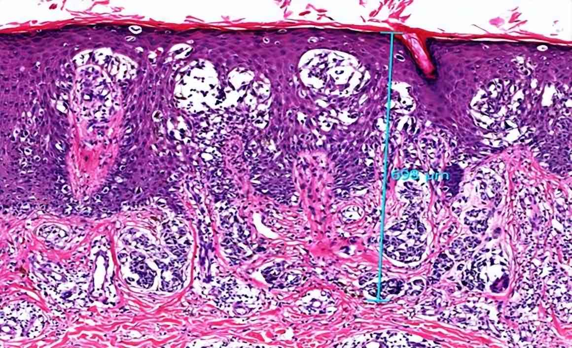
图2:误诊为Spitz痣的早期黑色素瘤病理图片
一、什么是Spitz肿瘤?—— 良恶连续的肿瘤家族
Spitz痣于1948年由病理学家Spitz首次报道,其良恶性鉴别始终是皮肤病理学界的难点。Spitz肿瘤并非单一类型,而是以梭形和/或上皮样黑素细胞增生为特征的病变集合,呈现良性到恶性的“连续谱”,分为良性Spitz痣、不典型Spitz肿瘤(交界性)、恶性Spitz黑素瘤三类,这是其诊断困难的核心原因。良性Spitz痣多见于儿童及青少年,多表现为边界清的红粉色丘疹,直径多小于1cm,生长可特别快;不典型及恶性类型临床表现复杂,与普通黑素瘤或良性Spitz痣难以区分,病理形态上,其黑素细胞特征也与部分恶性黑素瘤重叠,增加鉴别难度。
二、诊断难点:为何难以区分良恶?
核心在于病理形态的“跨界性”,具体有三大难点:一是良性Spitz痣也可能出现细胞异型性、核分裂象等“恶性特征”,易误判;二是不典型Spitz肿瘤处于良恶“灰色地带”,无明确良恶证据,资深医生也可能有诊断分歧;三是需与色素痣、蓝痣等良性病变及罕见黑素瘤鉴别,形态相似易混淆。
三、精准诊断:多维度协同破解难题


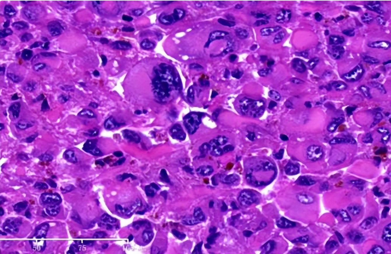
图4:图3的皮损。患者4年病史,切除前两年皮损无明显变化。免疫组化HMB45阴性,Ki-67 约3%。未用药,观察10年皮损未复发或出现转移。
四、临床意义:精准诊断决定治疗与预后
良性Spitz痣预后良好,局部切除即可。不典型Spitz肿瘤需扩大切除并长期随访;恶性Spitz黑素瘤则需按黑素瘤原则综合治疗。疑似病例建议前往大型医院皮肤病理中心,必要时多学科会诊,避免误诊导致过度治疗或治疗不足。
五、总结与期望
随着诊断技术从形态学到分子检测的发展,人们对Spitz肿瘤的认识正不断深入。但在技术飞速进步的今天,我们仍然强调,皮肤科医生需学好皮肤病理,病理诊断必需紧密结合临床,临床及病理如同皮肤科医生的双腿,缺一不可能走得远。
文章来源:中国抗癌协会黑色素瘤专委会主任委员、西京医院皮肤科高天文教授
- 评论


